大腦是一個受到保護的獨立環境,血管周圍的細胞網路將其與血液內容物隔開,一旦細菌和病毒能滲透這種血腦屏障,就會引發炎症,進而危及生命。目前,已有一些研究顯示,遠端微生物(生活在我們腸道中的微生物)可能會間接影響情緒和行為,甚至有導致神經疾病的風險。例如,破壞腸道微生物平衡可能會導致某種蛋白增加,如果其沿著連接腸道和大腦的神經上行,那麼就可能引發帕金森氏症。
上週神經科學學會年會上張貼的海報引起了人們的注意,這張海報用高分辨率顯微鏡圖像表明,細菌的確可以「入侵」健康人腦細胞,並在其中「安營扎寨」。但目前,這項工作尚在初期階段,其作者謹慎地指出,也不排除他們從屍體上採集的組織樣本受到汙染的可能。但對於展廳裡的許多路人來說,細菌可能直接影響大腦進程,甚至可能影響包括神經疾病的進程,這種可能性實在是令人振奮。
11月6日,在展廳的喧囂聲中,阿拉巴馬大學伯明翰分校(UAB)的神經解剖學家Rosalinda Roberts向與會者講述了一項初步發現,如果這一發現屬實,那麼微生物與大腦之間令人意想不到的親密關係就會慢慢「揭開面紗」。
她的實驗室通過檢查死後數小時內保存的腦組織切片來尋找健康人和精神分裂症患者之間的差異。大約在5年前,當時是Roberts實驗室本科生的神經科學家Courtney Walker發現這些切片的精細圖像中存在不明桿狀物,並開始對其著迷。Roberts之前也見過這些「桿狀物」。「但由於我在尋找其他的東西,就把它們拋在一邊了」,她說。
但是Walker是對於這些桿狀物很是癡迷,漸漸地,Roberts也開始向UAB的同事們諮詢一些意見。就在今年,一位細菌學家給了她一個出人意料消息:這些桿狀物是細菌。目前,他的團隊已檢查過的34個大腦中都發現了這種細菌,在這34個大腦中,健康人腦和精神病患者大腦各占一半。
Roberts想知道,在人體死亡到大腦切除之間的幾個小時內,腸道中的細菌是否會從血管中滲入進大腦。因此,她將健康小鼠處死後,立即對其大腦進行了保存、觀察,卻發現了其中存在更多細菌。然後,她又觀察了無菌小鼠(體內缺乏微生物)的大腦,而這些無菌小鼠的大腦均沒有細菌。
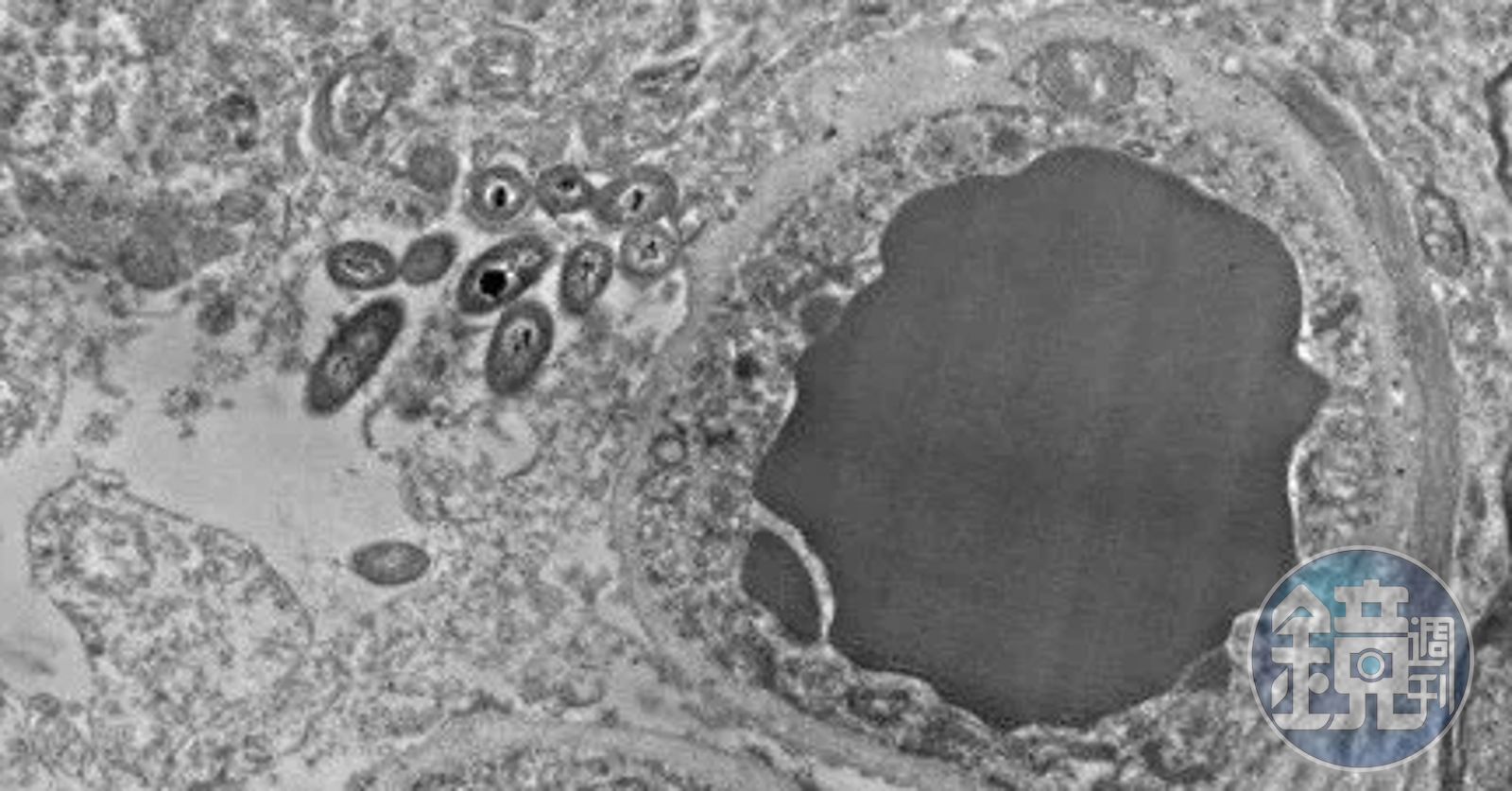
RNA測序顯示,大多數細菌來自3個常見的腸道細菌門類:厚壁菌門(Firmicutes)、變形菌門(Proteobacteria)和擬桿菌門(Bacteroidetes)。Roberts尚未明確這些細菌是如何進入大腦的。它們可能是從血管中來的,也可能是從神經中來的,甚至可能是通過鼻子裡進來的。同樣,Roberts 目前暫時也無法判斷其利害,她沒有發現這些細菌有導致炎症的跡象,從而證明其可能損害腦組織,並且也還沒有對它們進行量化,進而系統地比較精神分裂症患者和健康人的大腦。如果能夠發現這兩類大腦之間存在巨大差異,那麼未來的研究可以對「『腦微生物』如何維持或威脅大腦健康」進行深度探討。
通過對電子顯微照片的最初調查,Roberts團隊觀察到,常駐細菌存在一些莫名的偏好。這些細菌似乎棲息在星形細胞中,這種星形細胞又被稱為星形膠質細胞,可與神經元相互作用並支持神經元。值得注意的是,大腦內的微生物主要聚集在星形膠質細胞的末端和周圍,而星形膠質細胞則常位於血腦屏障處,包圍著血管。此外,在被稱為髓磷脂的脂肪物質包裹的神經元周圍,也有很多「腦微生物」富集。目前,Roberts還無法對這些偏好進行解釋,但她懷疑這些細菌可能受到了腦細胞中的脂肪和糖的吸引。
至於為什麼其他研究人員沒有看到大腦中的細菌?Roberts說,這可能是因為很少有研究者將人體死後的大腦切片置於電子顯微鏡下。「神經解剖學家也並不常處理大腦標本。」而且有些神經科學家可能像她最初那樣,忽視了樣本中的細菌,或者根本認不出它們。
Roberts承認,她的團隊還需要確認樣本沒有受到汙染。她打算繼續研究,在提取腦的過程中,空氣或手術器械中的微生物是否可以進入組織。此外,她還要排除大腦保存過程中引入或滋養細菌的可能性。「有些人持懷疑態度」Roberts 指出,「我對此也不十分確定。」但是即使這些細胞在人存活的時候還「無聲無息」,是在人死後才「入侵」大腦的,這項研究也非常有趣,她表示。
如果真的存在Roberts提出的「腦微生物」,「那還要進行諸多研究」,馬里蘭大學巴爾的摩分校的精神病專家Teodor Postolache說道。他對原生動物寄生蟲—弓形蟲進行了研究,結果表明該寄生蟲可侵入大腦但並不一定會引起明顯疾病。「如果大腦中還生活著別的東西,我並不感到很驚訝,但當然,如果事實確實如此,那麼這是革命性的發現」。他說,如果這些常見的腸道細菌存在於腦細胞中和腦細胞周圍是常規的、無害的,那麼它們可能在調節大腦免疫活動方面發揮關鍵作用。「要證明這一點還有很長的路要走,但是這是條令人興奮的道路」,他說。
本文係由DeepTech深科技授權刊登。原文連結:肠道细菌能在大脑“安家落户”吗?



